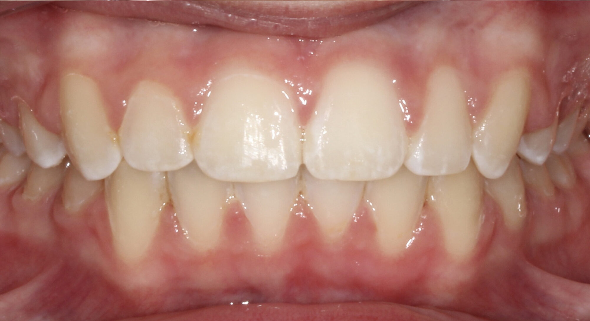
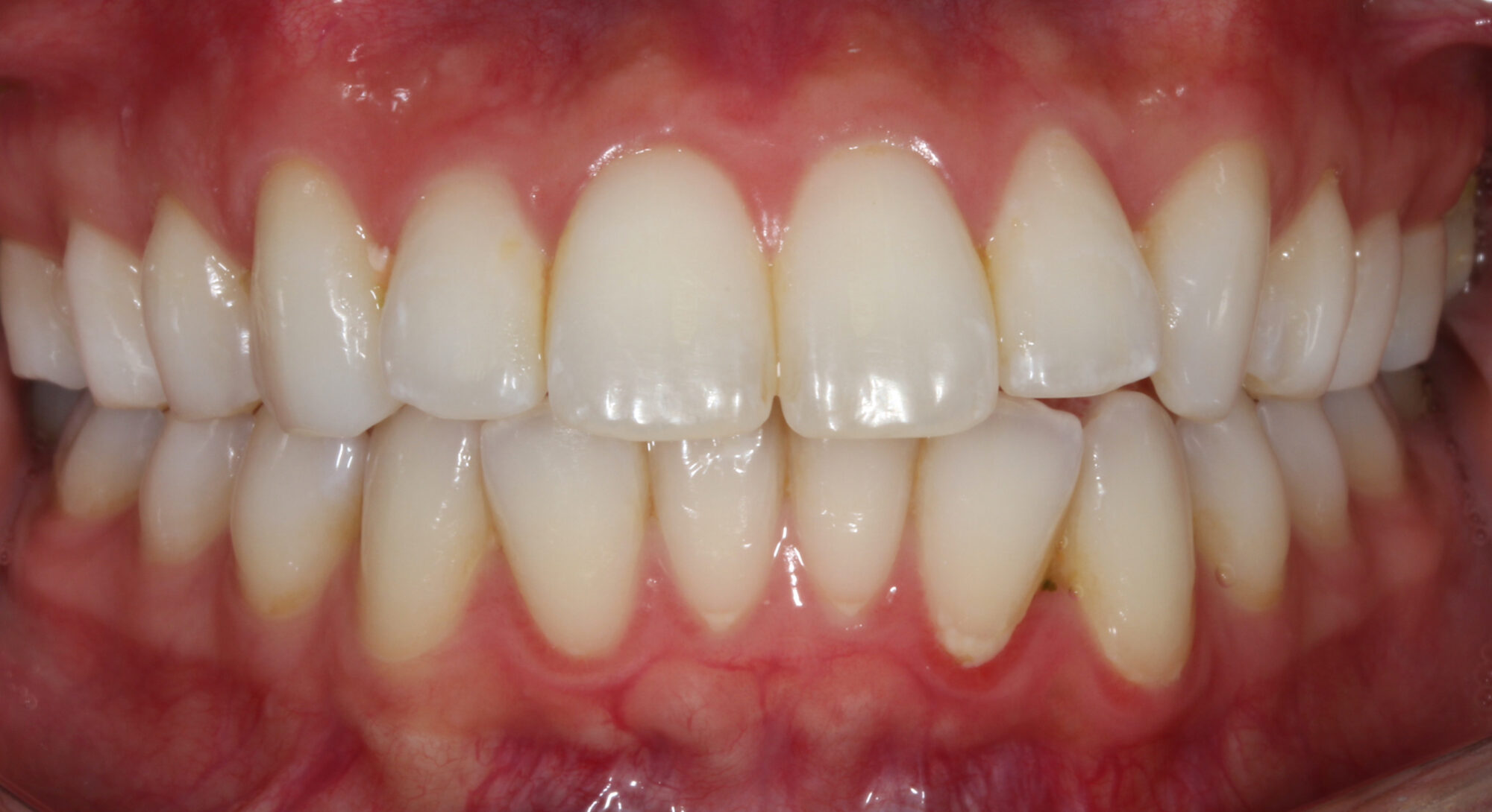
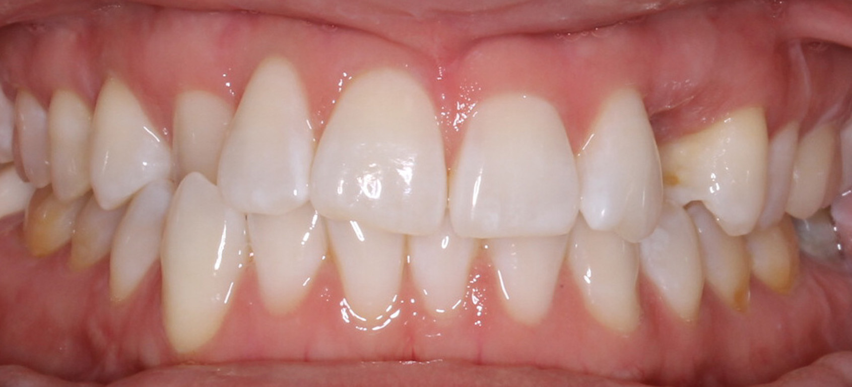
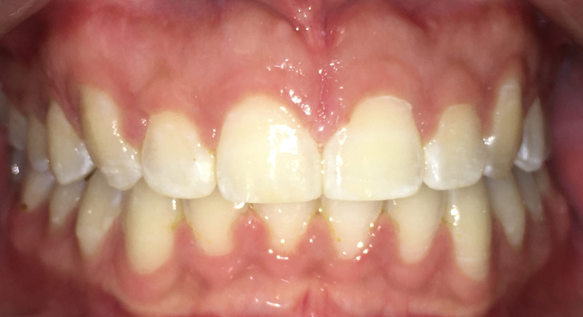
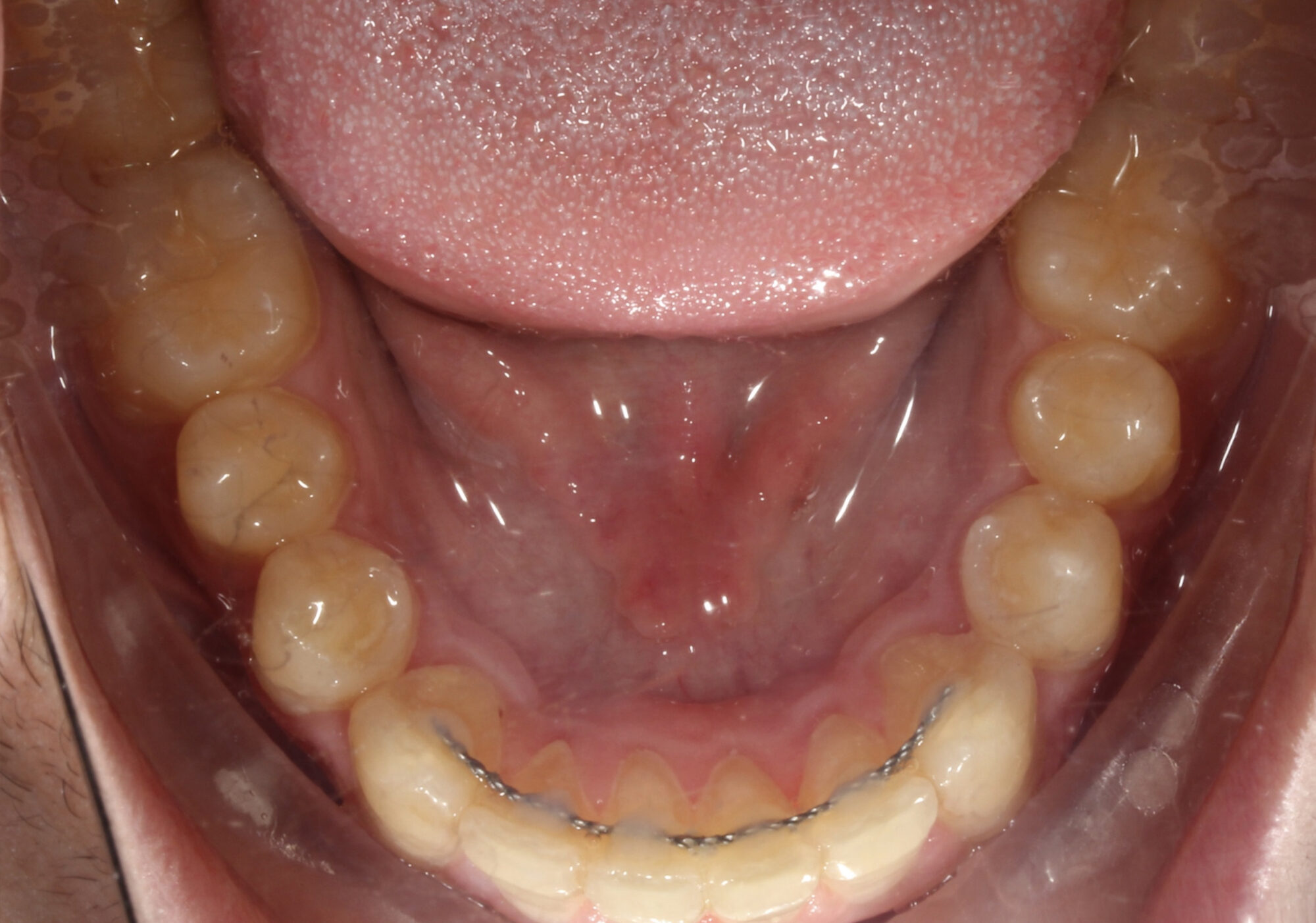
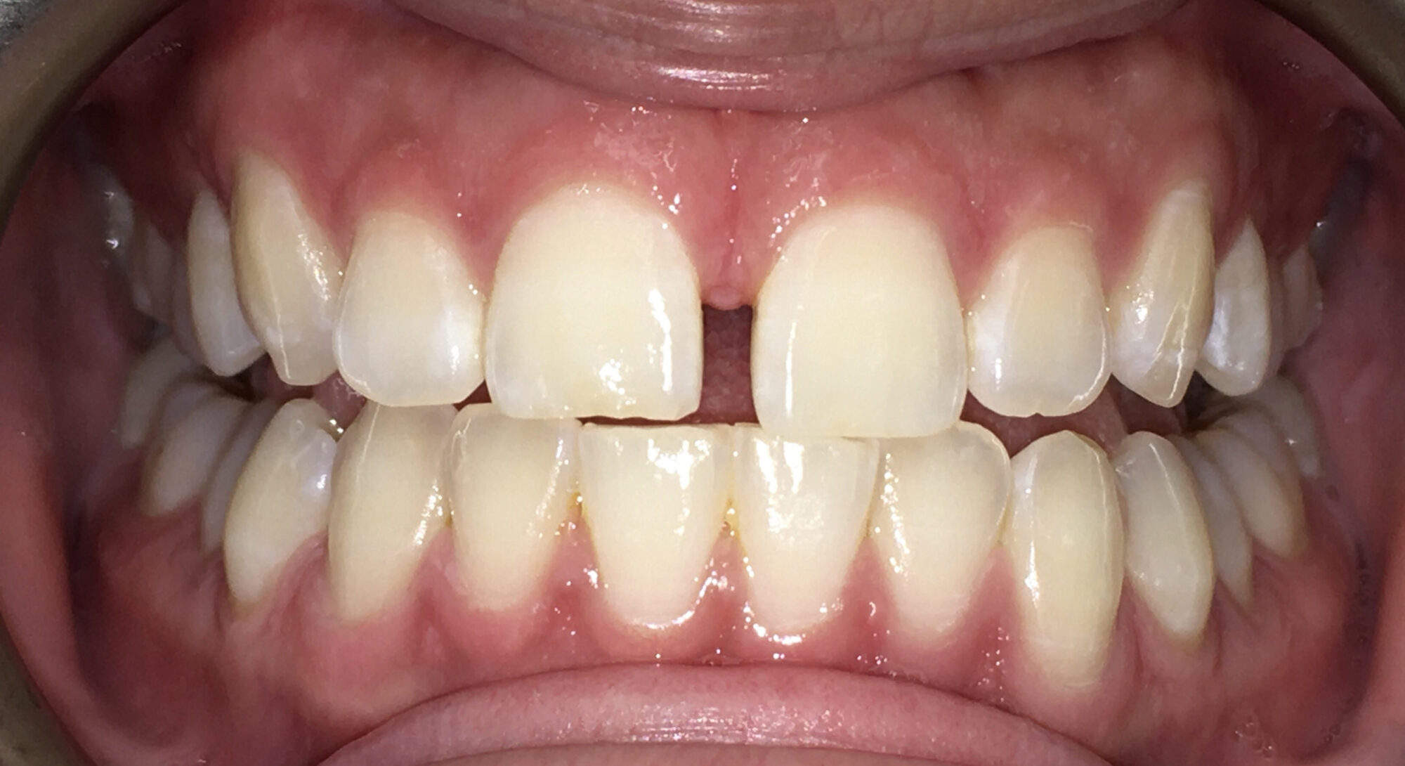
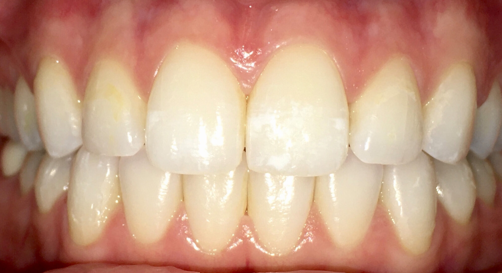
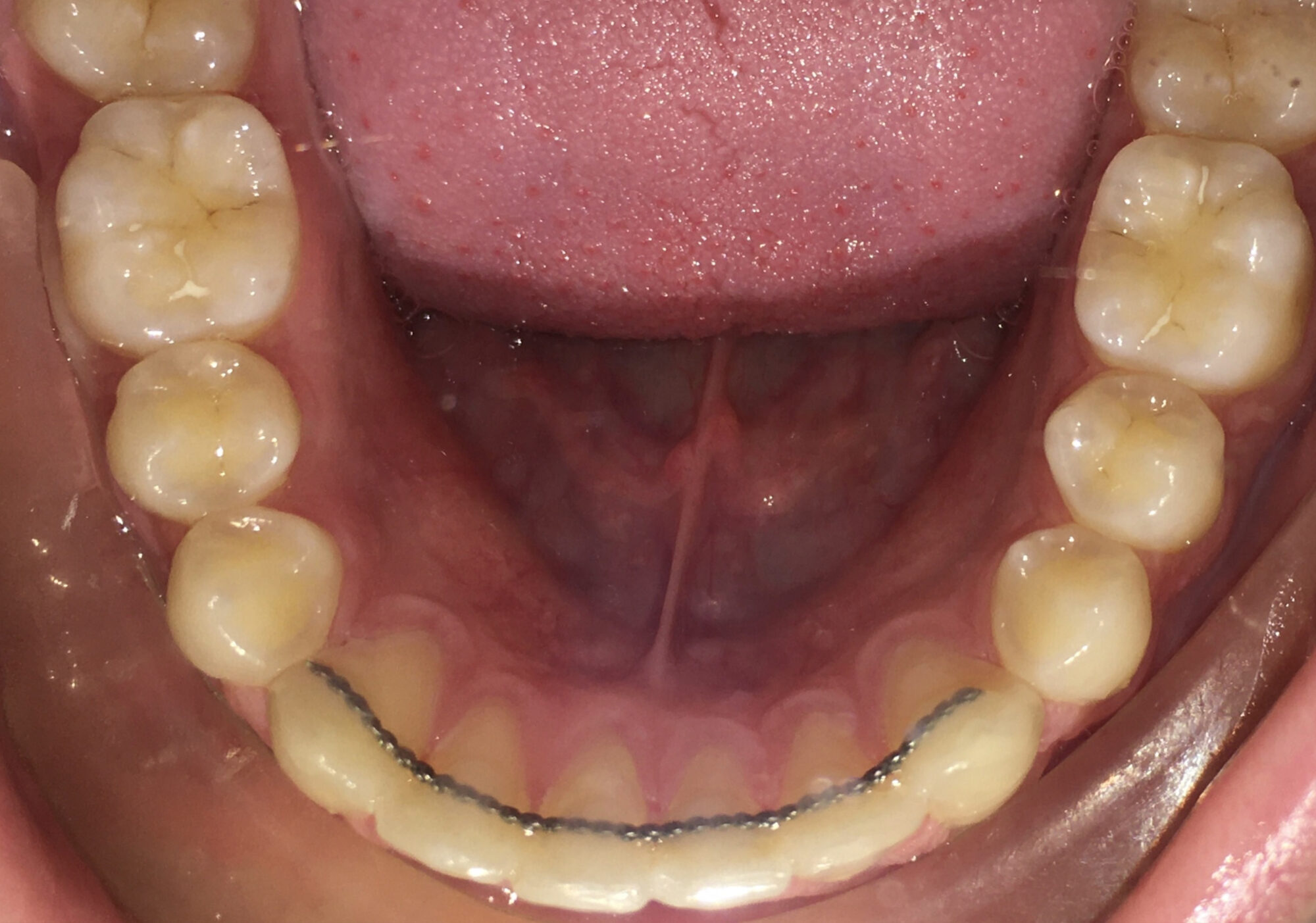
Real Patient Transformations

See how Dr. Phillip Ha can help your confidence rise, just like he did for these patients. Check out these beautiful before and after pictures of patients treated at Rise Orthodontics.

We serve patients of all ages from Modesto and the surrounding areas with modern orthodontic treatments like Invisalign and braces.

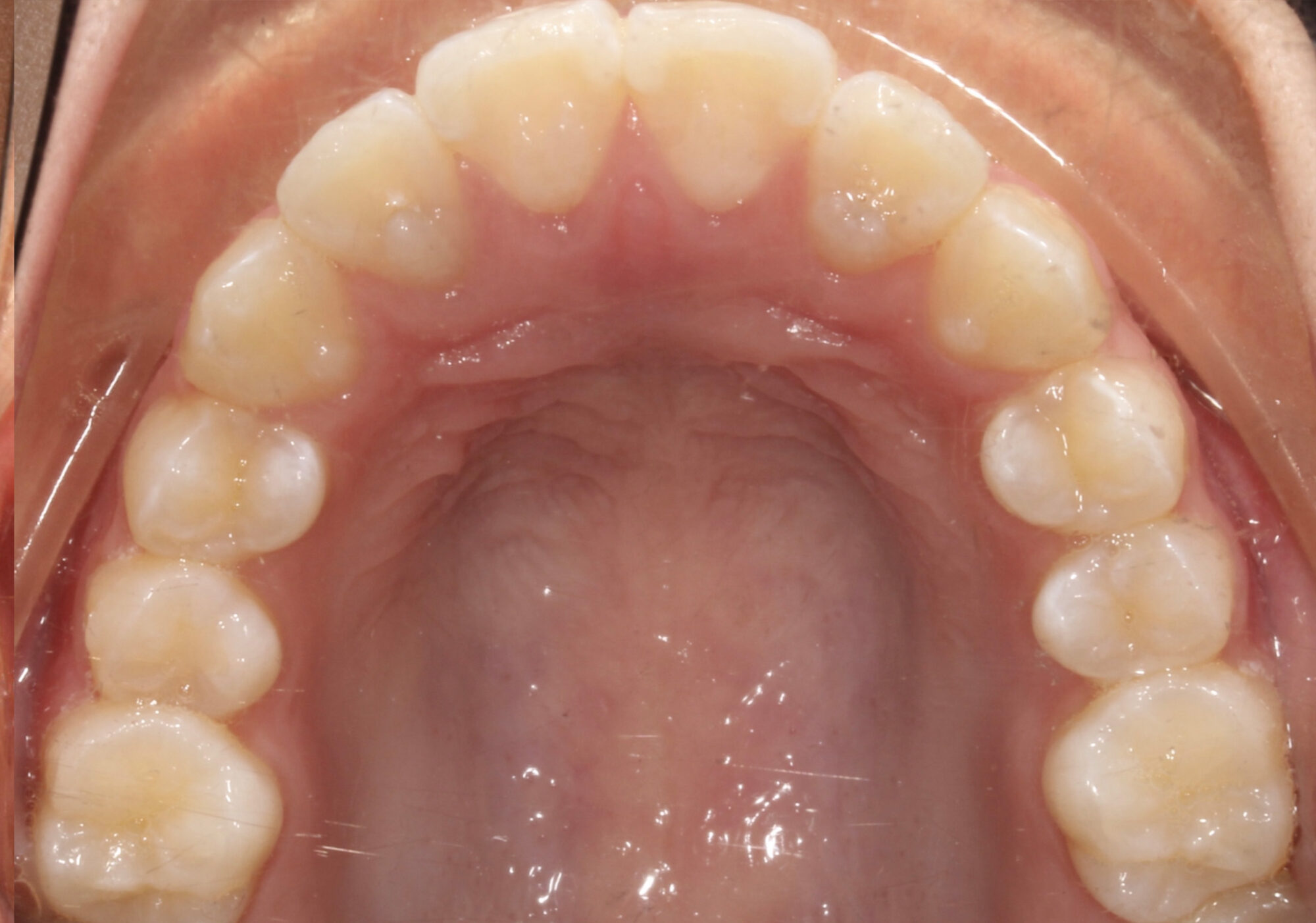
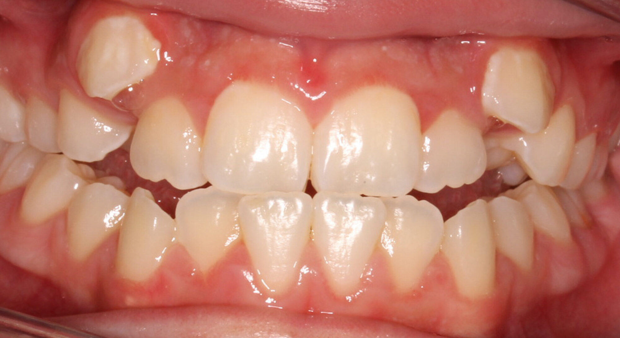
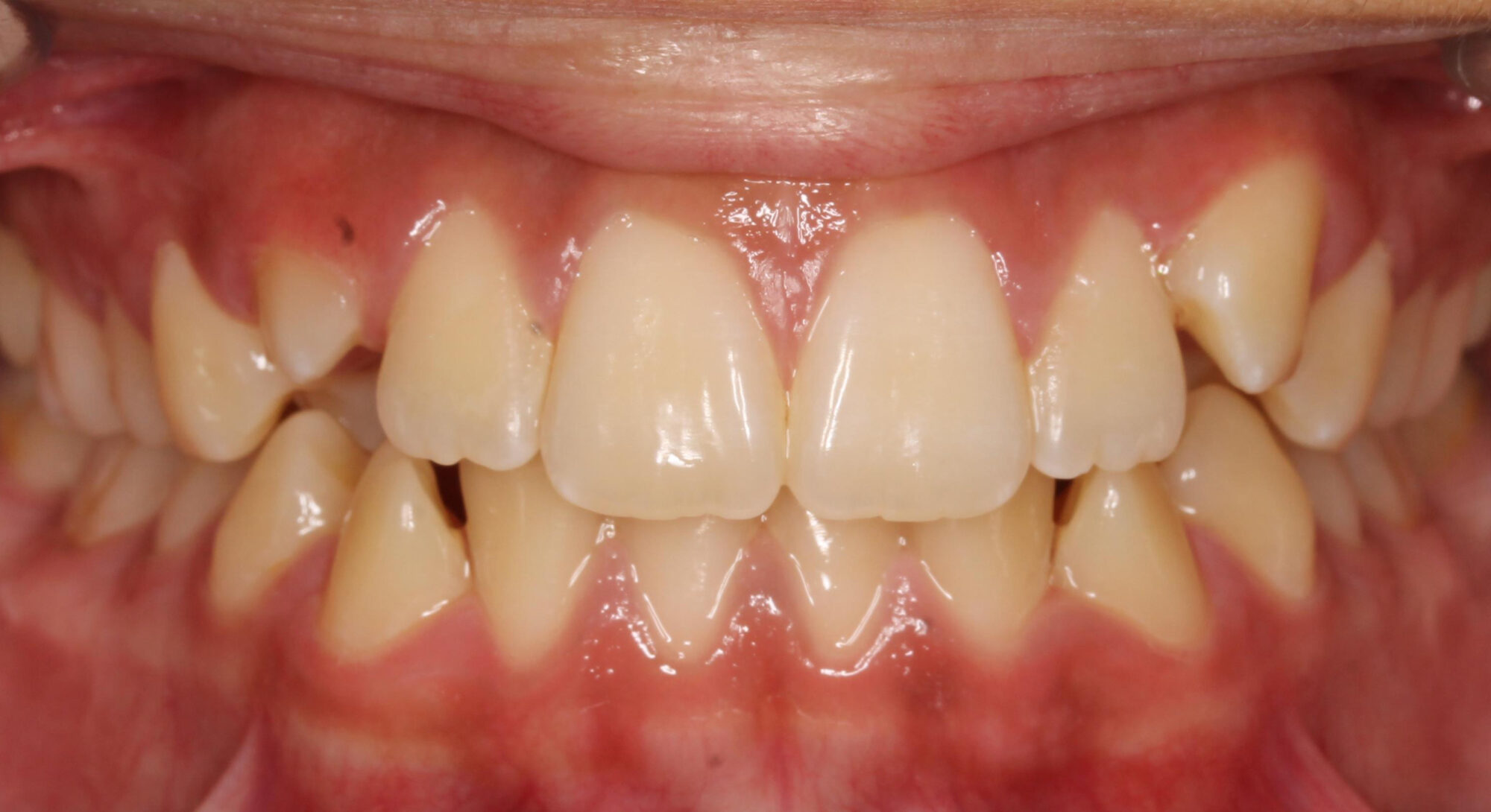
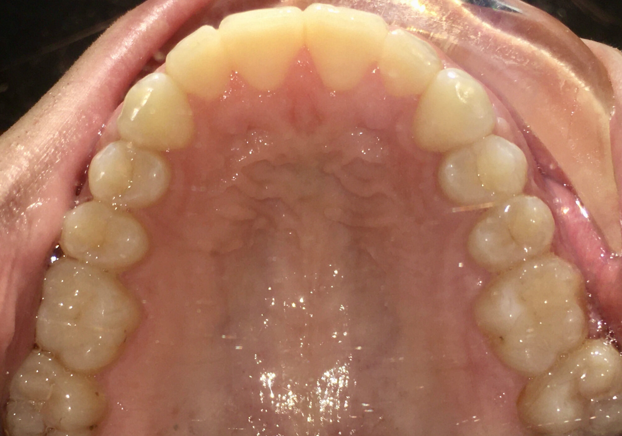
Before and after images of a patient’s orthodontic treatment, showcasing improved dental aesthetics with a bright smile and straightened teeth, featuring the Rise Orthodontics logo.
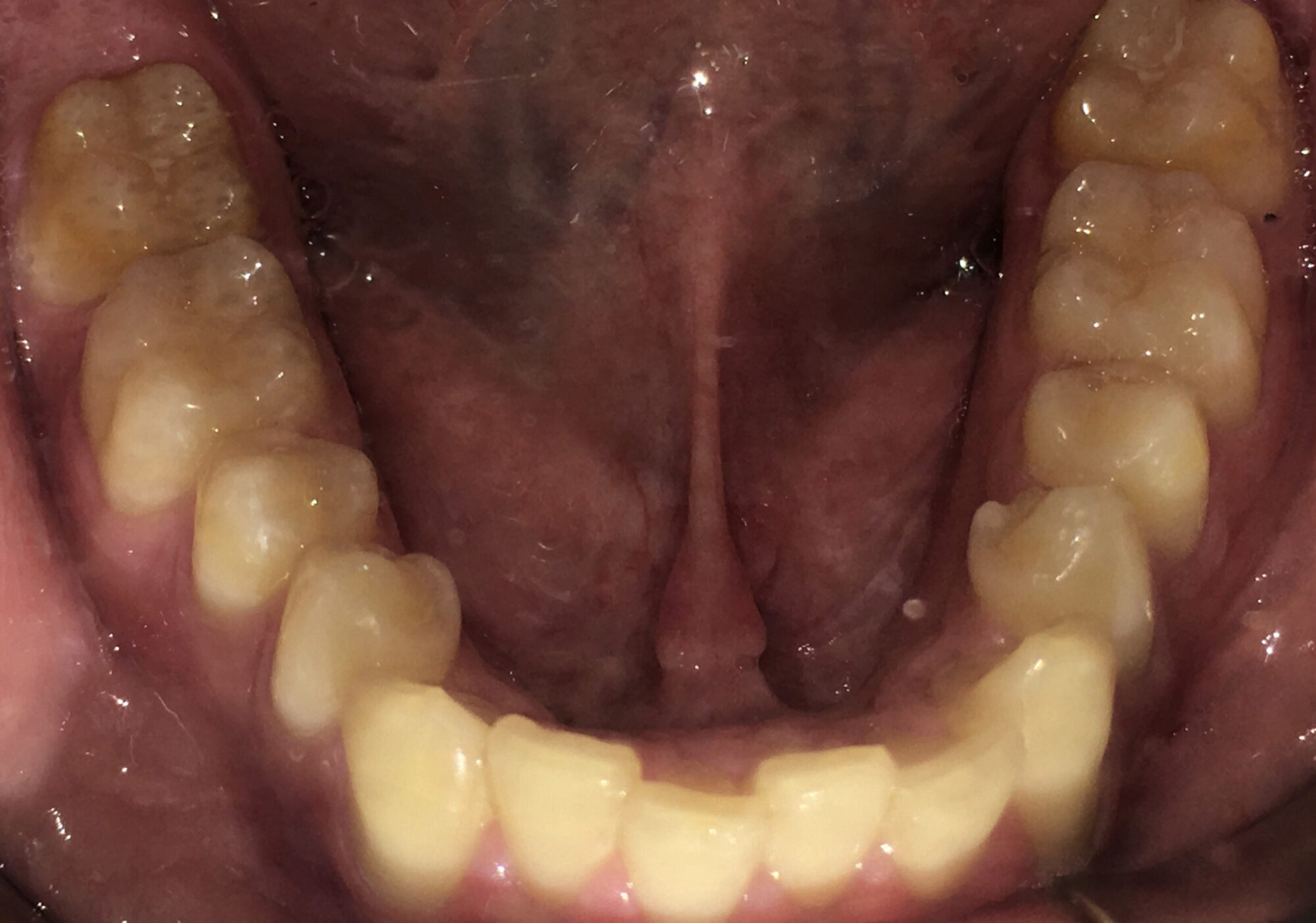
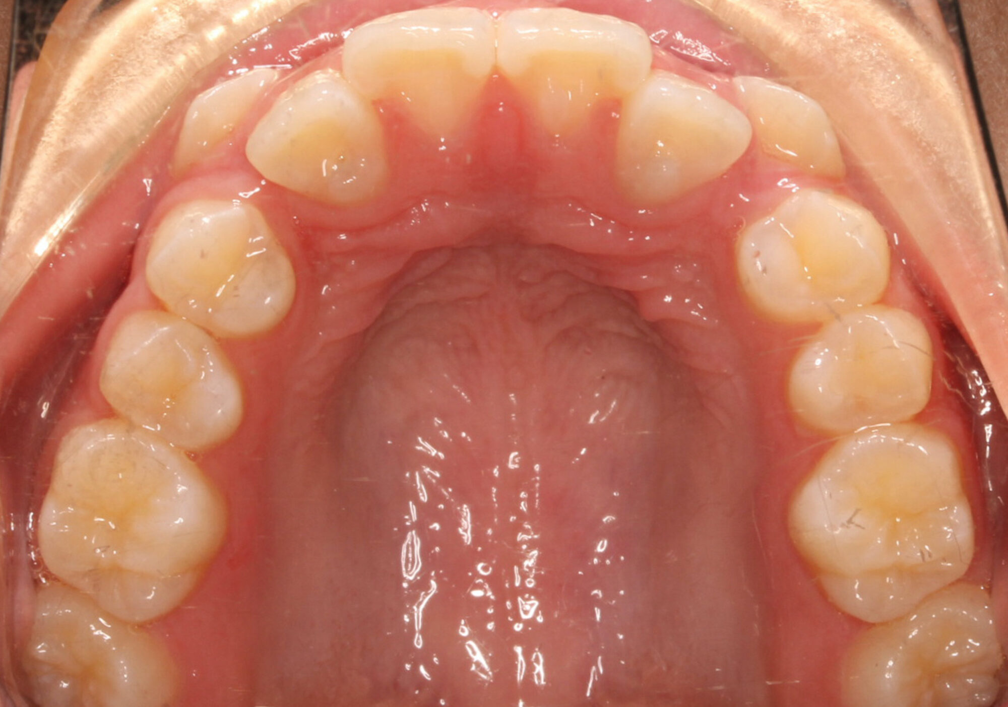
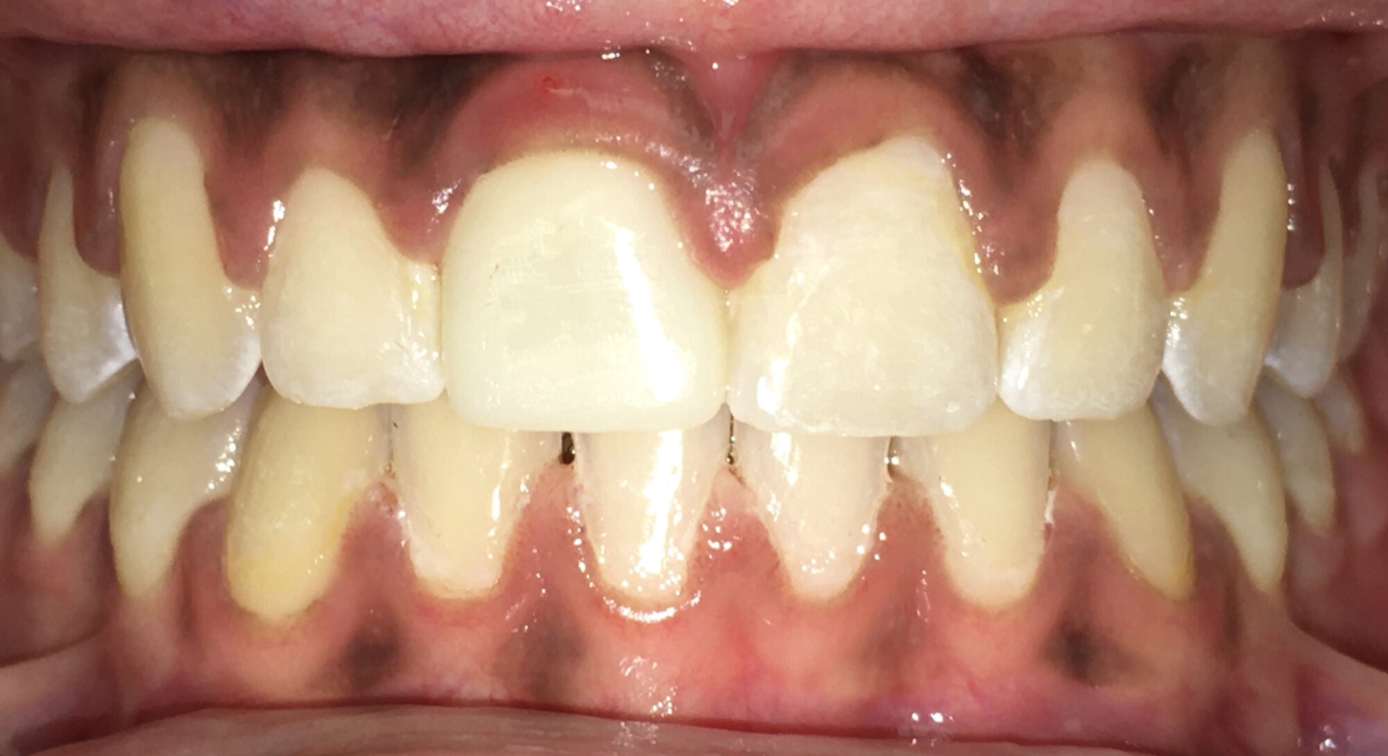
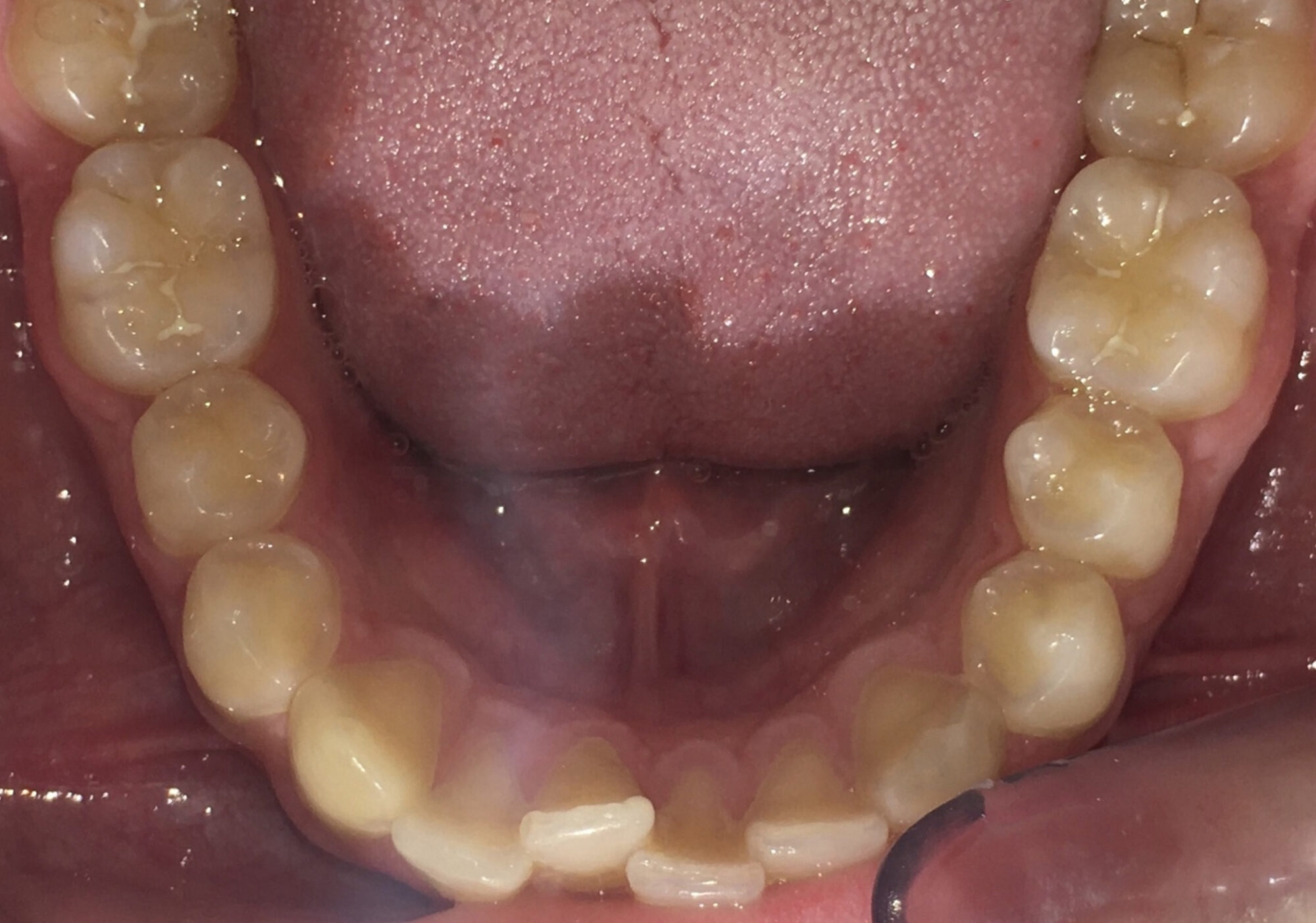
Before and after images of a patient showing orthodontic transformation, featuring improved smile aesthetics and alignment, with Rise Orthodontics logo in the center.
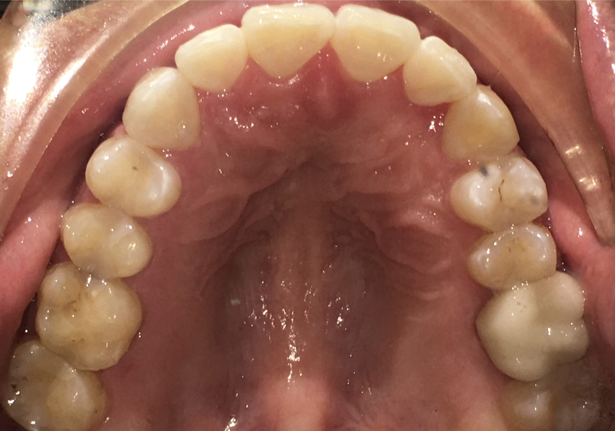
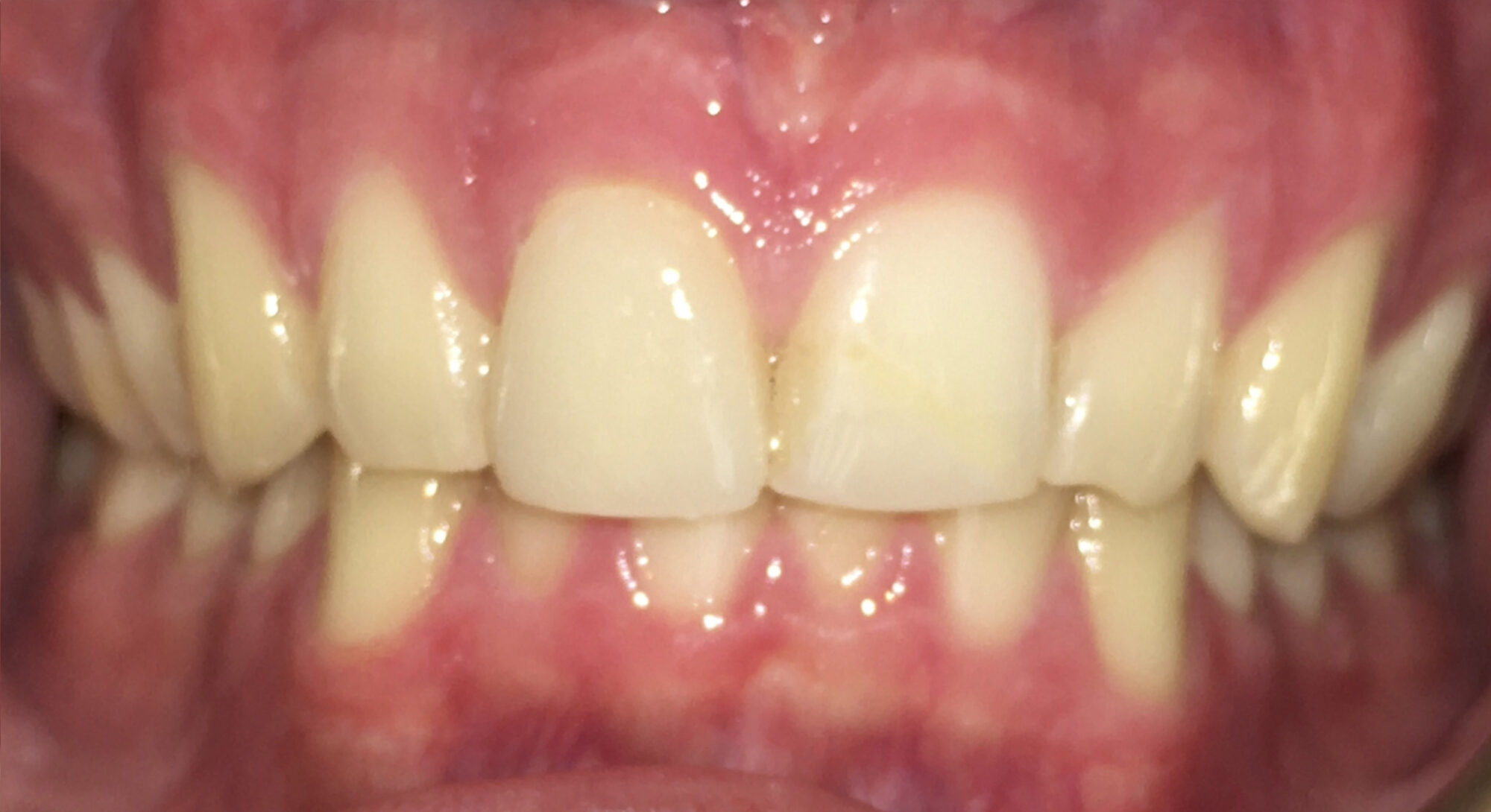
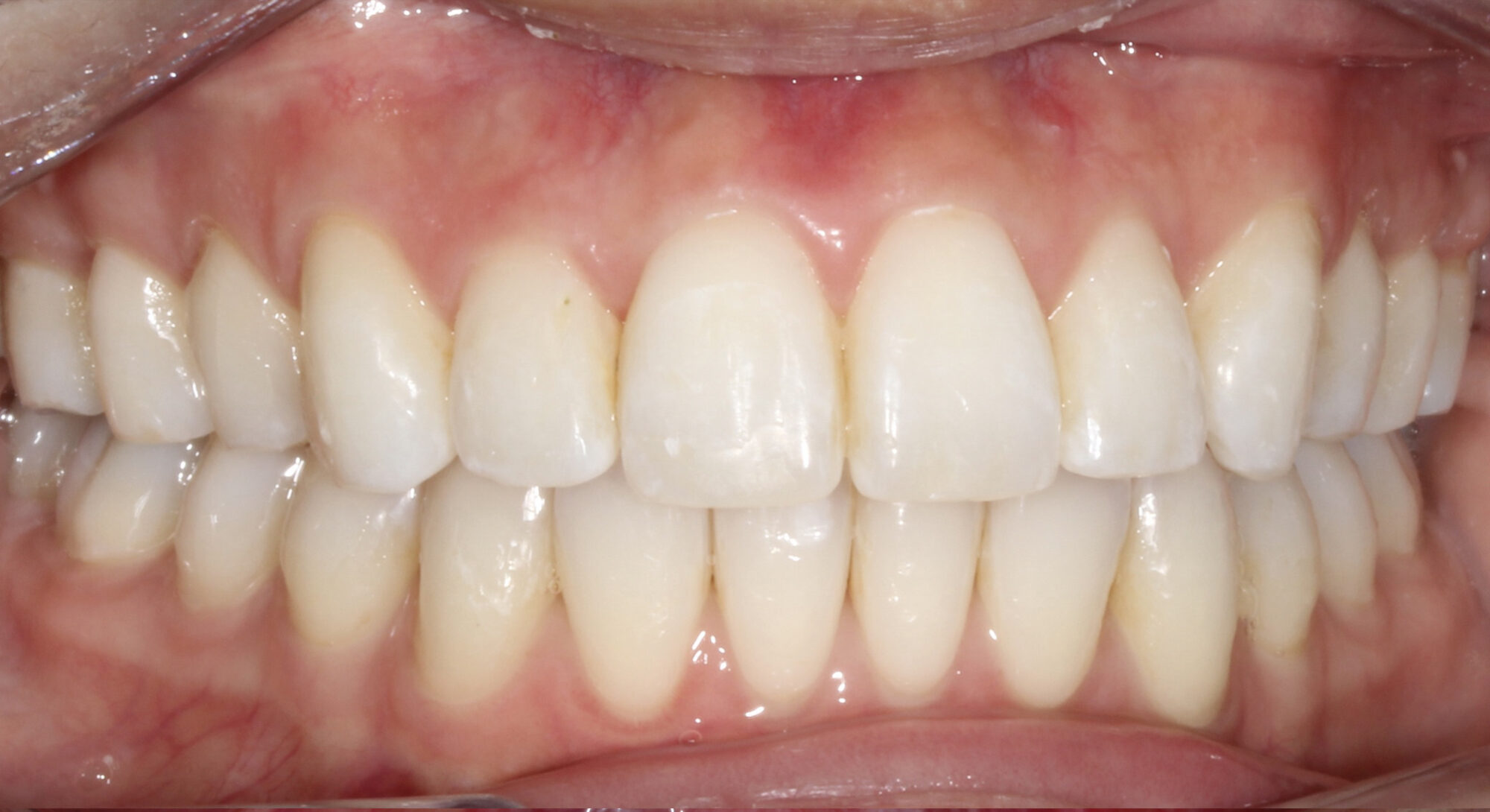
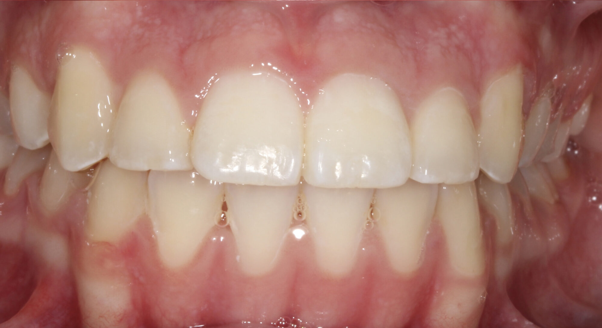
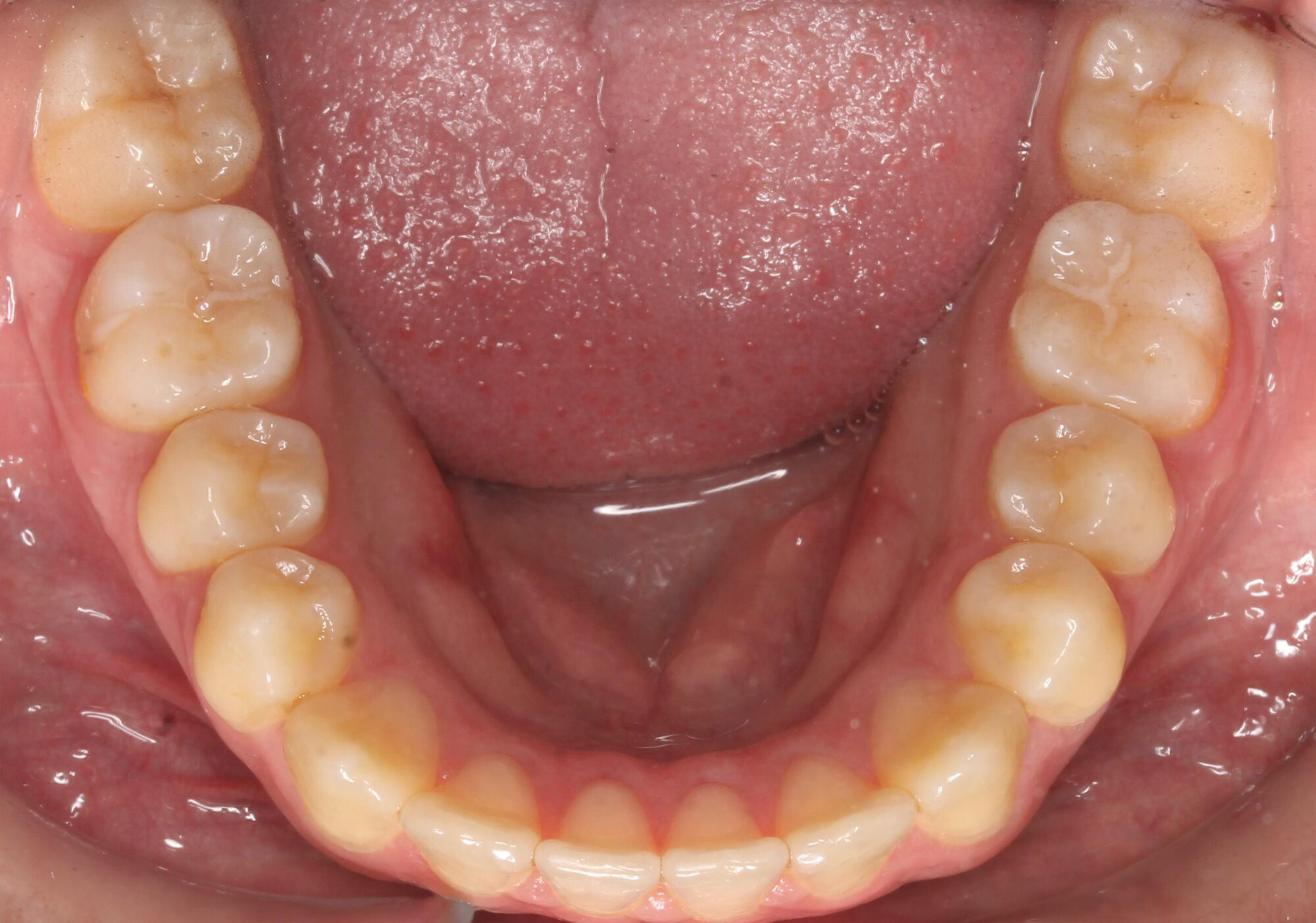
Before and after images of a patient showcasing orthodontic transformation, featuring improved teeth alignment and smile aesthetics, with the Rise Orthodontics logo displayed prominently.
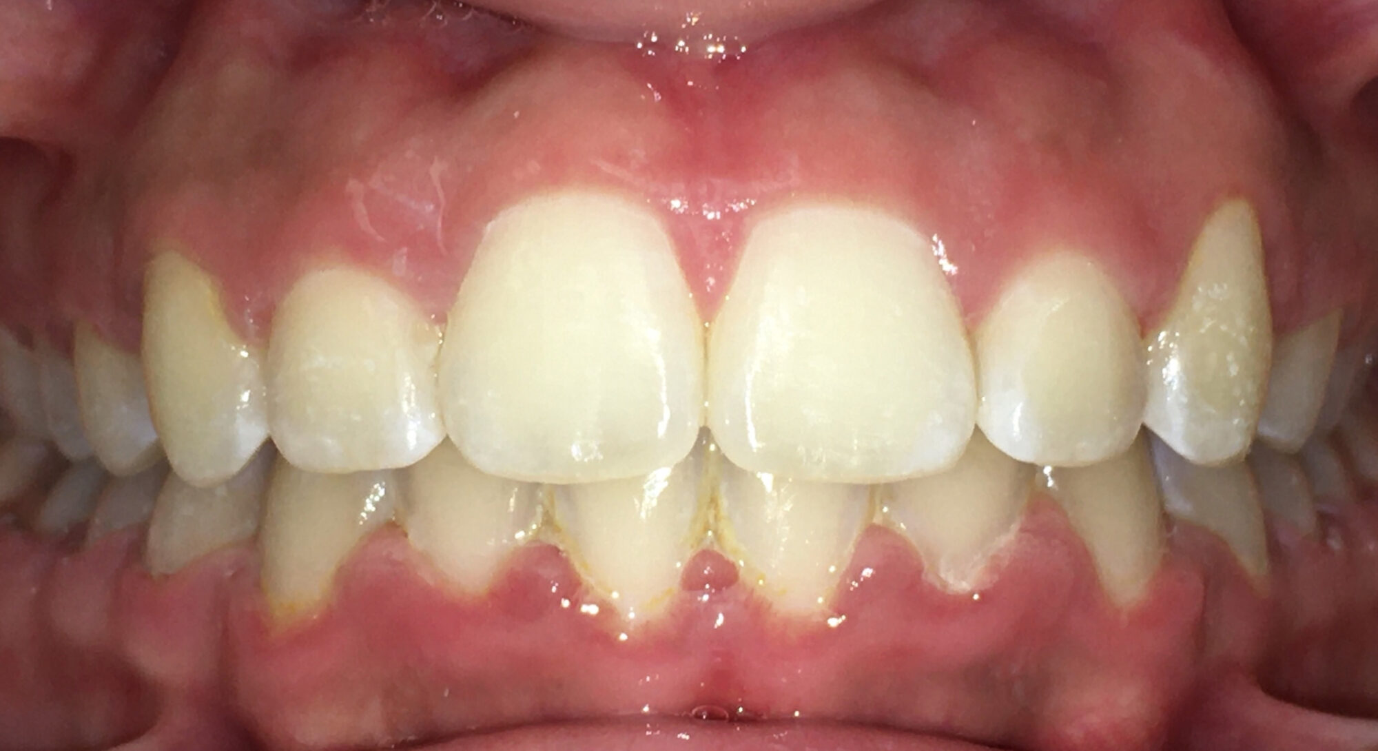
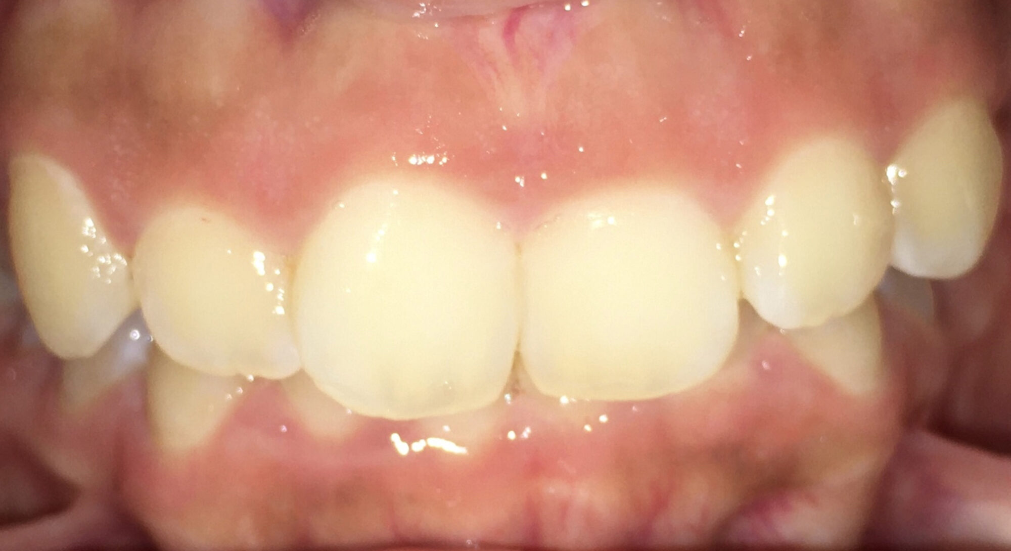
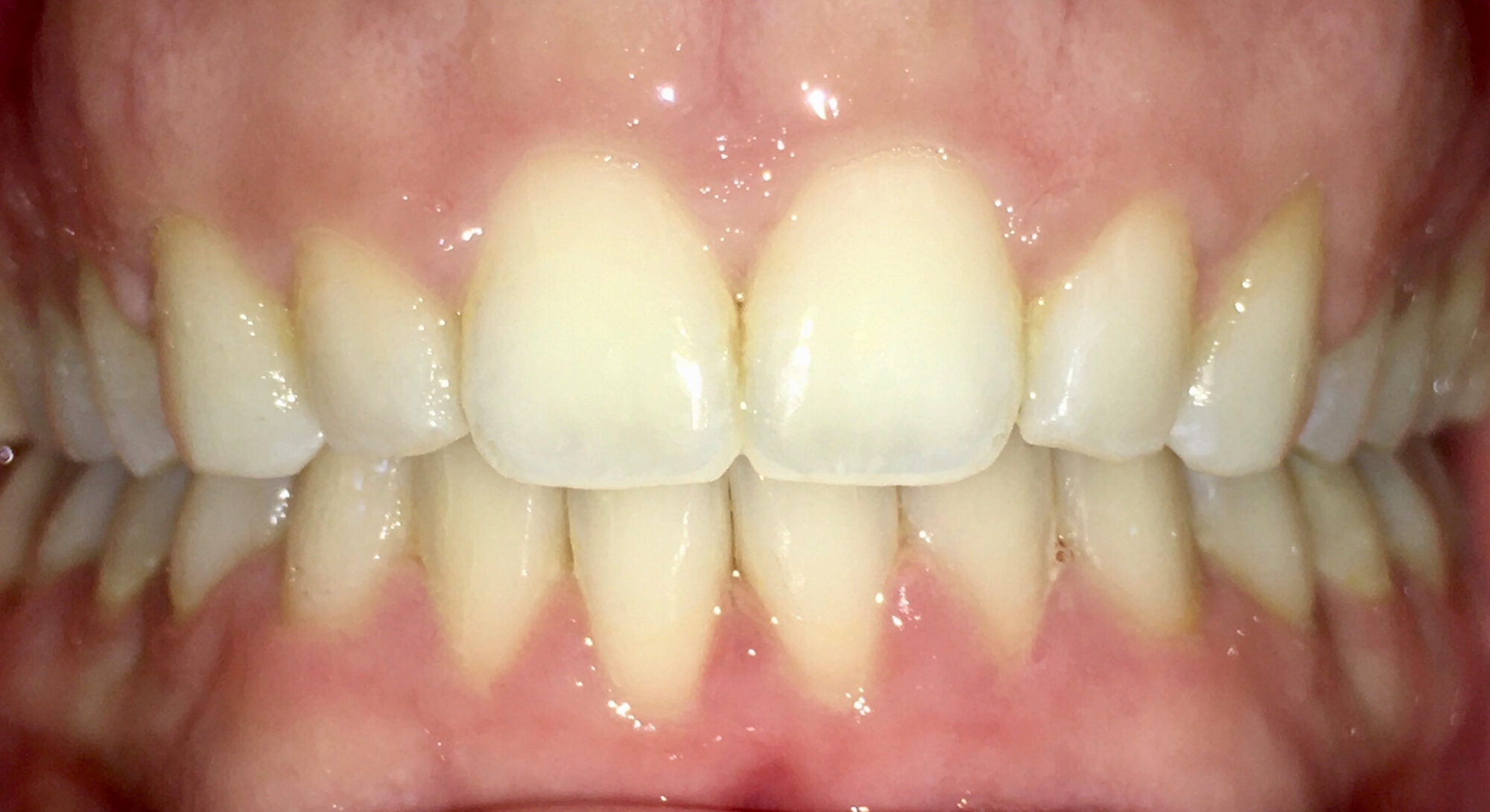
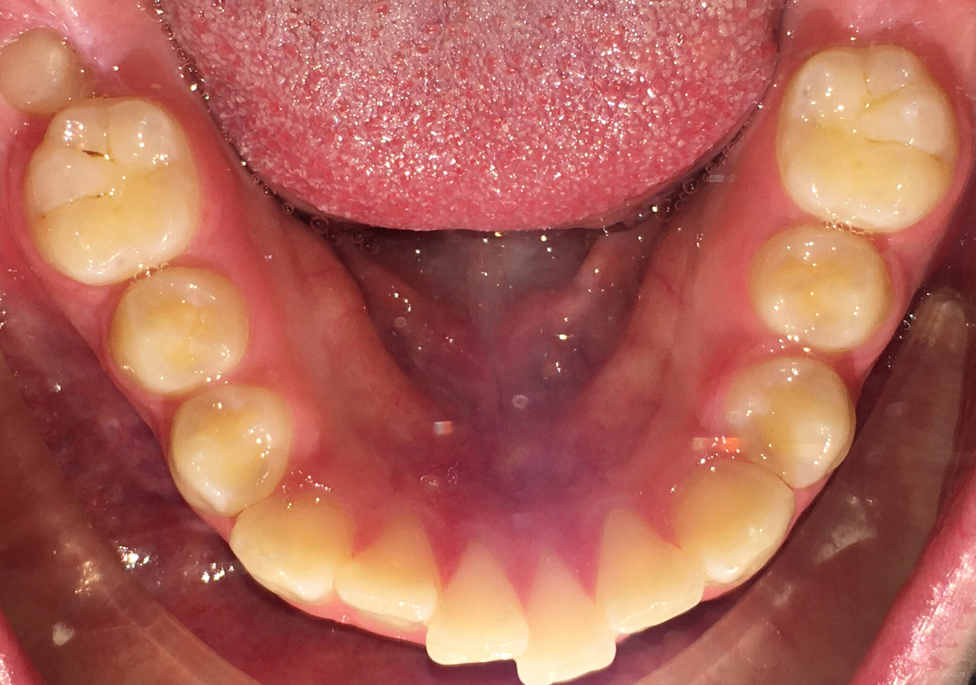
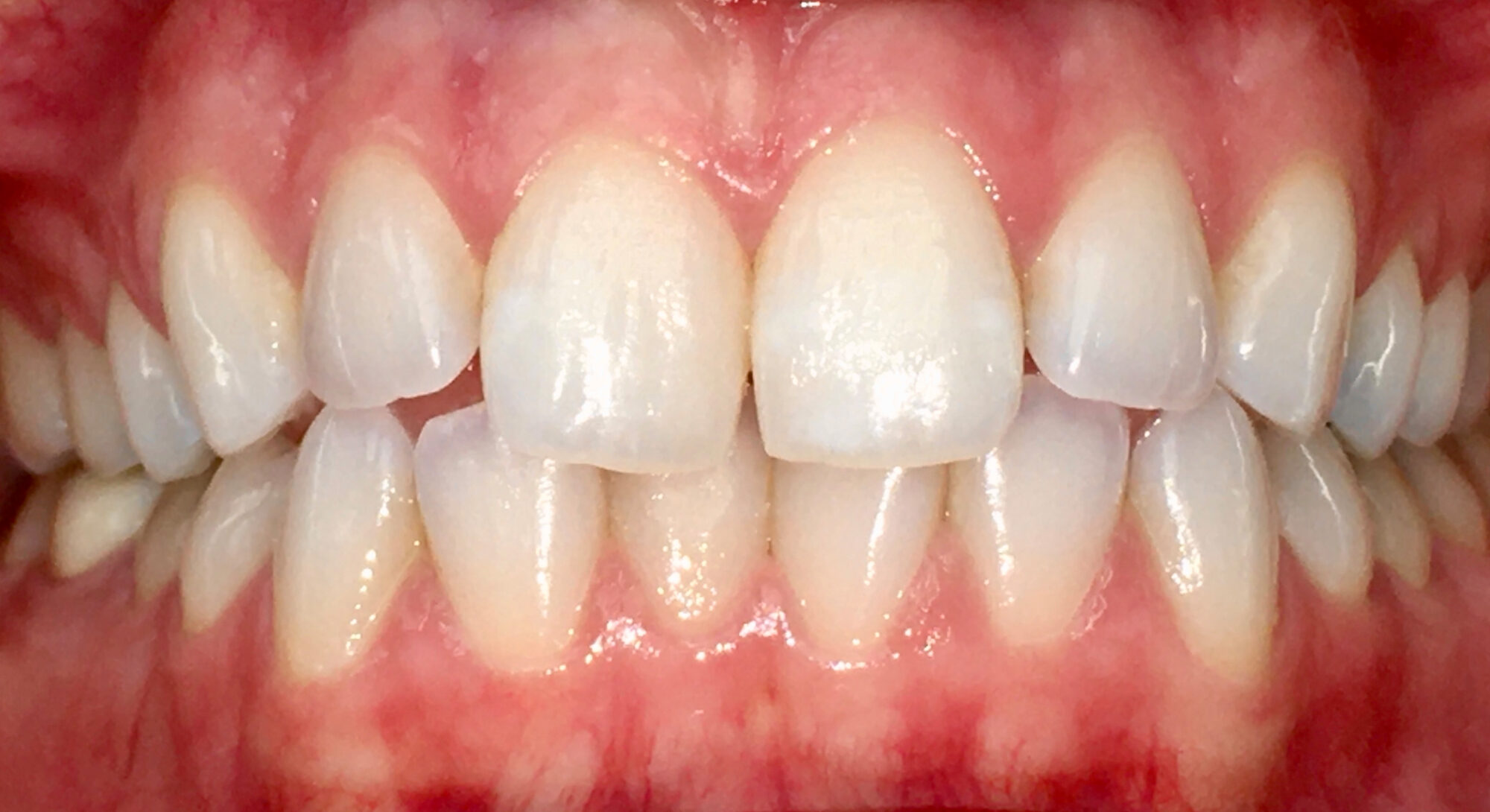
Before and after orthodontic transformation showcasing improved dental aesthetics with braces at Rise Orthodontics, featuring a smiling patient and enhanced teeth alignment.
Before and after orthodontic treatment photos showcasing improved smiles, highlighting patient transformations at Rise Orthodontics.
Before and after orthodontic treatment images showing a child's smile transformation, featuring improved alignment and aesthetics of teeth, with Rise Orthodontics logo in the center.
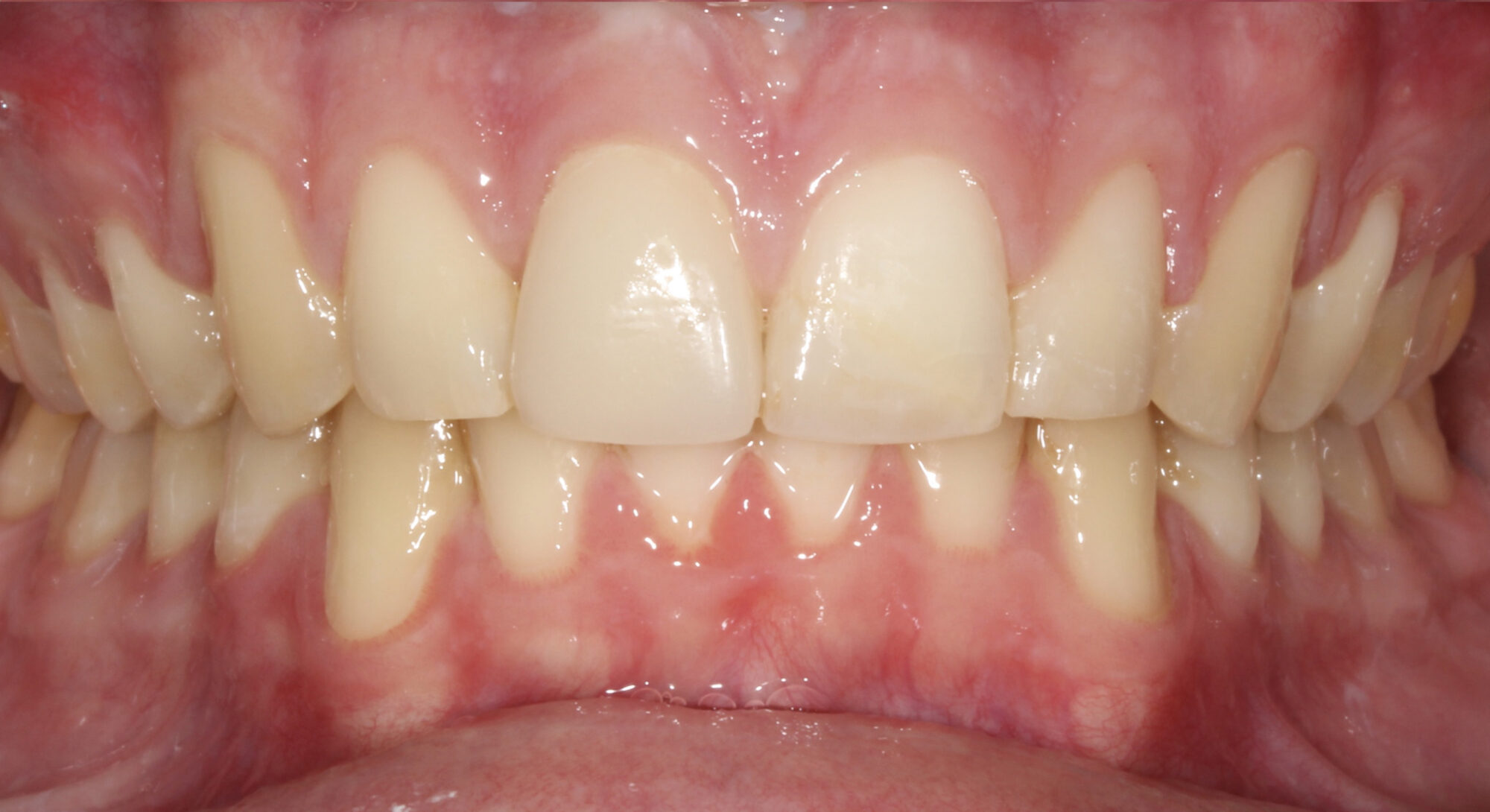
Before and after images of a patient showcasing orthodontic transformation, featuring improved smile aesthetics and alignment, with Rise Orthodontics logo prominently displayed.
Before and after images of a patient treated at Rise Orthodontics, showing significant dental transformation with improved alignment and aesthetics.
Before and after images of a patient treated at Rise Orthodontics, showcasing significant dental transformation with improved smile aesthetics and alignment.
Before and after orthodontic transformation showcasing a patient's smile improvement with straightened teeth, featuring the Rise Orthodontics logo.
Before and after images of a patient treated at Rise Orthodontics, showcasing improved smile and teeth alignment with braces or Invisalign.
Before and after images of a male patient showcasing orthodontic transformation, featuring improved dental alignment and aesthetics, with the Rise Orthodontics logo prominently displayed.
Before and after orthodontic treatment showcasing a patient's smile transformation with improved dental alignment, featuring the logo of Rise Orthodontics.
Before and after images of a patient treated at Rise Orthodontics, showcasing improved dental aesthetics with a confident smile and aligned teeth.
Before and after orthodontic treatment images showing a patient's smile transformation, featuring improved alignment and aesthetics of teeth, with the Rise Orthodontics logo in the center.
Before and after orthodontic treatment showcasing improved smile and dental alignment at Rise Orthodontics, featuring a patient’s transformation with braces or Invisalign.
Before and after orthodontic treatment at Rise Orthodontics, showcasing improved smiles and dental alignment, featuring a patient with braces.
Before and after images of a patient showcasing orthodontic transformation by Rise Orthodontics, highlighting improved dental alignment and aesthetics.
Before and after orthodontic transformation of a child, showcasing improved dental alignment and aesthetics, featuring the logo of Rise Orthodontics.
Before and after orthodontic treatment images showcasing a patient's smile transformation with braces, highlighting improved dental alignment and aesthetics, featuring the Rise Orthodontics logo.
Before and after orthodontic transformation showing improved dental aesthetics, featuring a smiling patient with straightened teeth, logo of Rise Orthodontics in the center.
Before and after images of a patient treated at Rise Orthodontics, showcasing improved dental aesthetics with straightened teeth and enhanced smile confidence.
Before and after orthodontic treatment comparison showcasing improved dental aesthetics, featuring a patient smiling with braces, highlighting the transformation facilitated by Rise Orthodontics.
Before and after orthodontic transformation showcasing improved smile and dental alignment, featuring patient images from Rise Orthodontics.
Before and after images of a patient showing orthodontic transformation with improved smile aesthetics, featuring the logo of Rise Orthodontics.
Before and after orthodontic treatment at Rise Orthodontics, showcasing improved dental alignment and aesthetics with patient smiles and teeth transformations.
Before and after images of a patient treated at Rise Orthodontics, showcasing improved dental aesthetics with braces or Invisalign, featuring a smiling individual with straightened teeth.
Before and after orthodontic transformation of a patient at Rise Orthodontics, showcasing improved dental aesthetics with braces, featuring frontal and side views of the smile.